


Pacienta s-a prezentat în cabinet pentru a proteza pe implanturi edentația din cadranul III. în urma evaluării clinice și radiologice s-a recomandat schimbarea tuturor lucrărilor protetice.
Planul inițial a fost extracția dinților 16 și 28 și inserarea implanturilor în pozițiile 14, 15, 17, 24, 26, 27.
În urma evaluării CBCT-ului s-a constatat necesitatea realizării augmentarii osoase ăn zona posterioară maxilară, lifting sinusal maxilar bilateral odată cu inserarea implanturilor.
De asemenea s-au planificat implanturi în pozițiile 46, 47, 36, 37.
Pentru a se asigura că implanturile dentare vor fi plasate în poziția ideală din punct de vedere estetic și funcțional, medical implantolog a recomandat inserarea implanturilor dentare cu ajutorul ghidului chirurgical.
Medicul specialist a efactuat scanarea digitală a arcadelor pe care a trimis-o tehnicianului dentar DigiRay, împreună cu CBCT-ul pacientului.
Odată planficată și agreată poziția și axul de inserție al fiecarui implant, tehnicianul DigiRay efectuează designul șablonului chirurgical și printarea acestuia dintr-o rășină bio-compatibilă.
S-a relizat igienizarea pacientului și s-au recomandat analize de sange (hemoleucogramă, INR, TS, TC, Timp Quicg, TGO, TGP, Glicemie) și s-a administrat antibiotic cu o zi înainte de intervenție (Augmentin 1g/12h, per os).
Preoperator, s-au îndepărtat lucrările protetice maxilare și s-a hotarat extracția dinților 12, 13.
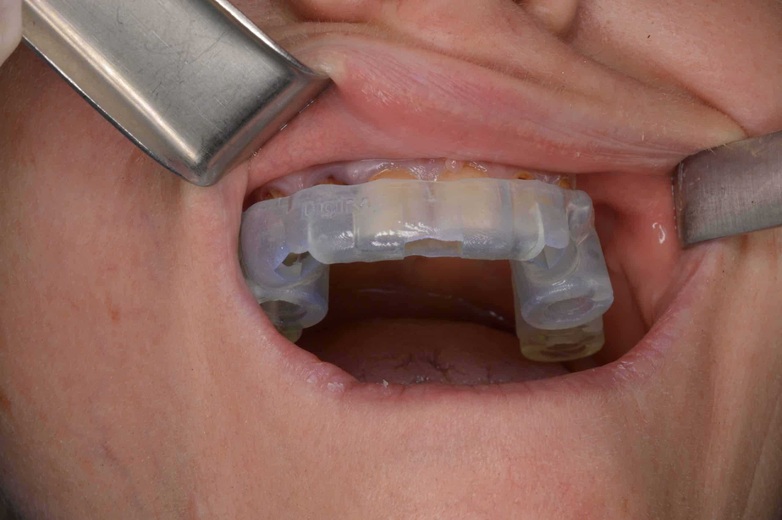
Medicul a verificat stabilitatea ghidului chirurgical pe dinți. Cu toate că extracțiile dinților 12, 13 și inserarea implantului în pozitia 12 nu au fost planificate în prealabil, ghidul chirurgical a avut stabilitate excelentă.
La nivelul implantului 12 s-a realizat adiție osoasă vestibulara (os bovin, os autolog 50:50 și membrană pericard fixată cu pini).

Studiul de caz a fost realizat în urma colaborării dintre Dr. Drăgan Eliza DDS, PhD, M.Sc. și Tehnician Dentar Adrian Frangopol, specialist în ghiduri chirurgicale DigiRay.