


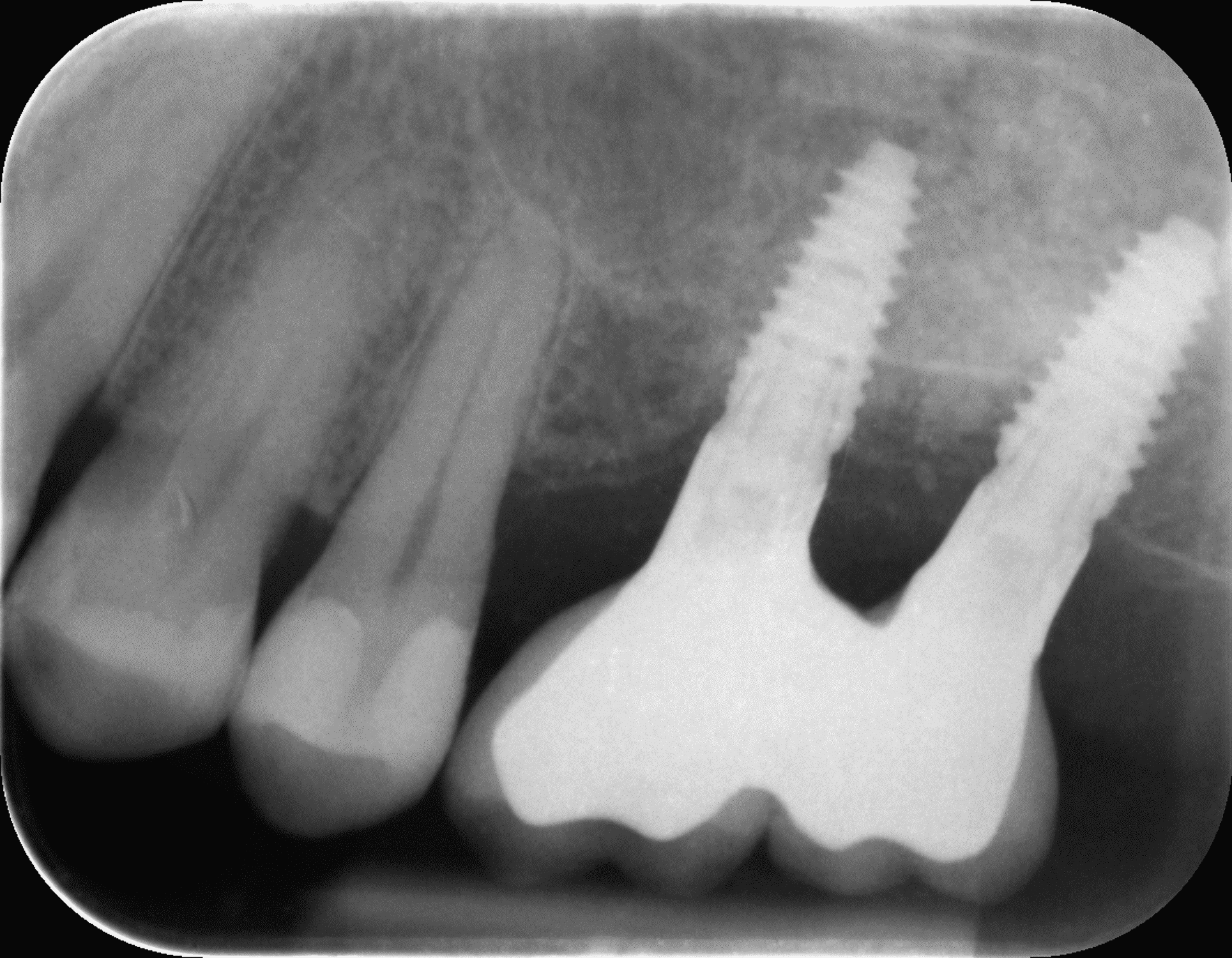
În prima etapă chirurgicală, Dr. Eliza Drăgan a efectuat un lifting de sinus maxilar bilateral.
A doua etapă, inserarea implanturilor, a fost realizată după 6 luni.
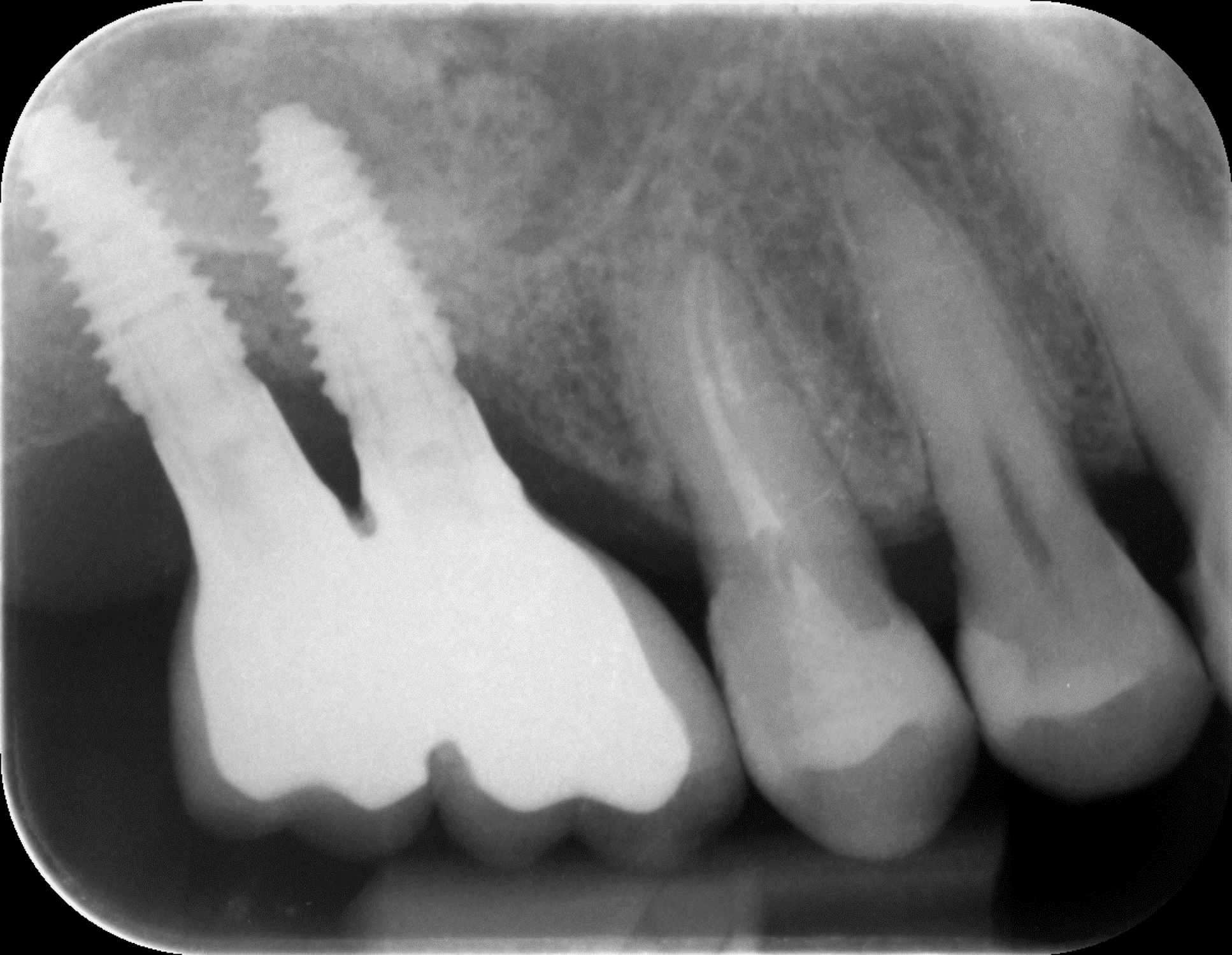
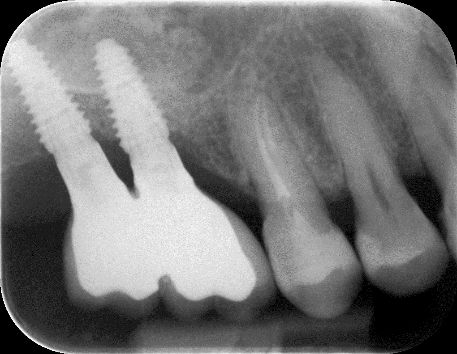
Împreună cu pacientul, am optat pentru inserarea implantelor cu ajutorul ghidului chirurgical pentru a plasa implantul în poziția protetică ideală și pentru a permite realizarea coroanelor insurubate pe implant. A fost efectuată scanarea digitală a arcadelor și a ocluziei pacientului, iar împreună cu tehnicianul radiolog de la DigiRay a fost suprapus fișierul .stl al amprentei digitale peste fișierul .dcm de la CBCT, utilizând software-ul 3Shape.
S-a planificat individual poziția și axul de inserție al fiecărui implant.
Avantajele realizării intervenției cu ajutorul ghidului chirurgical au fost:
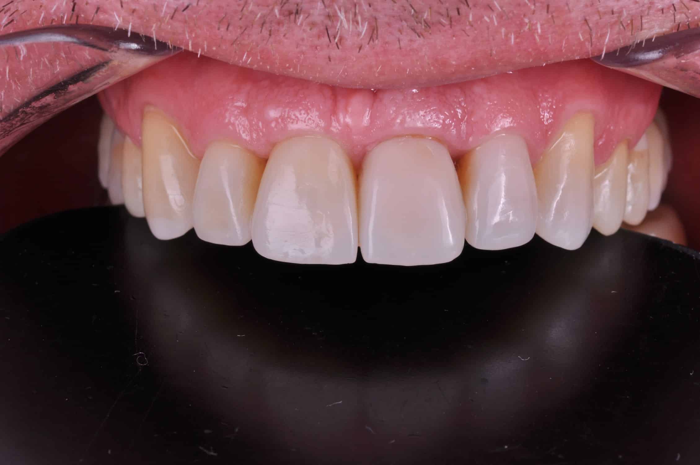
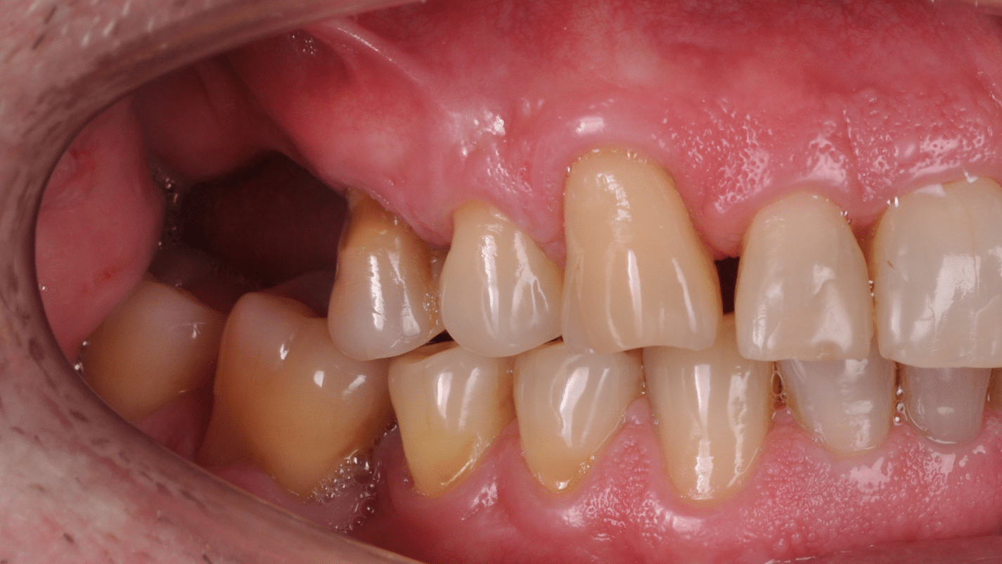
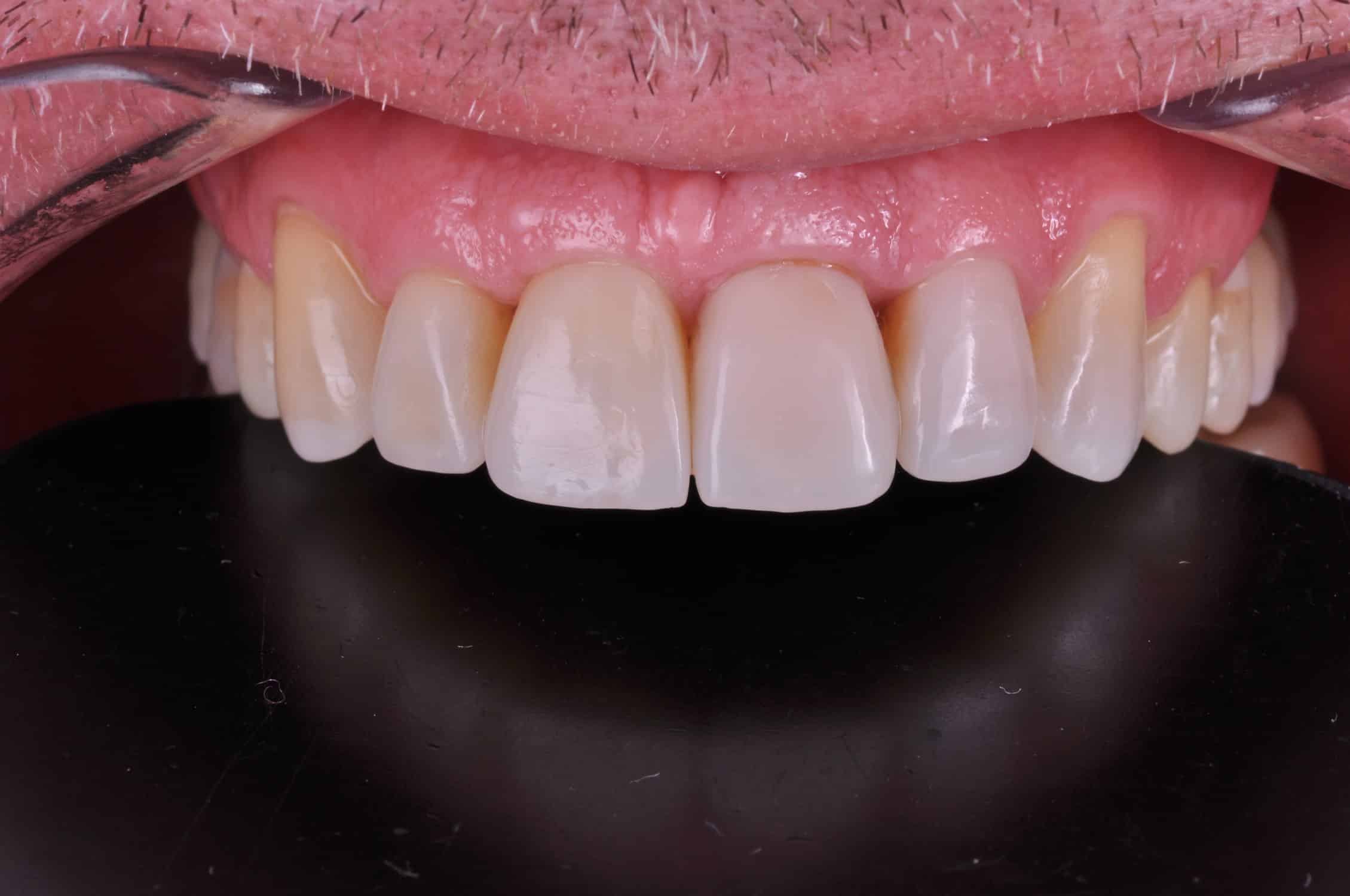
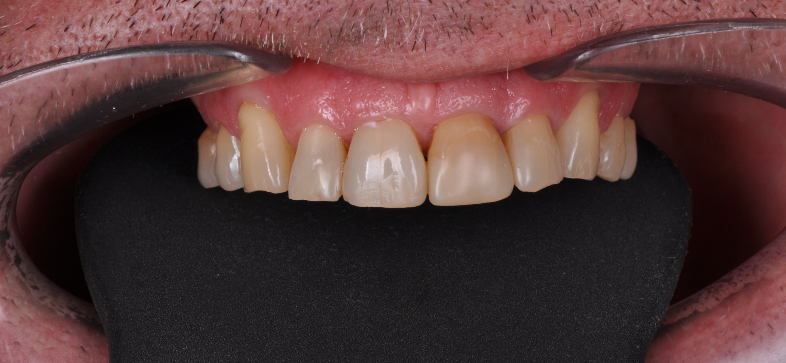
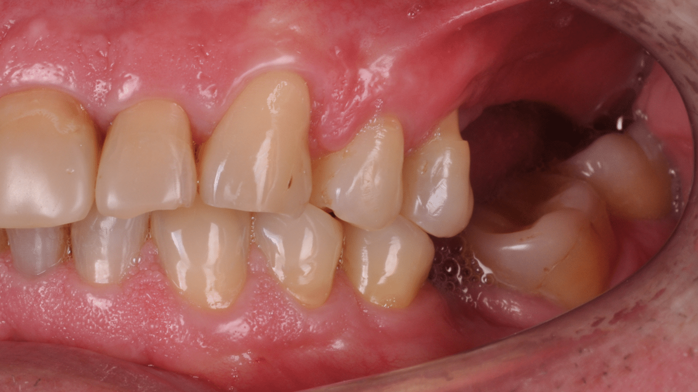
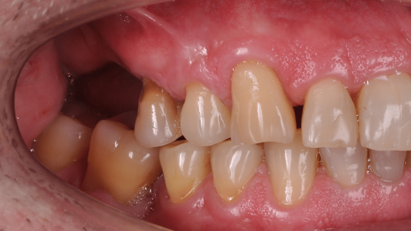
Doar astfel putem crea profilul de emergență corect al coroanei dentare, ceea ce permite conformarea papilei și a sulcusului.